<ホワイトニング>
ホワイトニングは健康な歯を削らずに専用の薬剤を使用して歯を白くする方法です
ご自身の天然歯をより自然な白さにしていきます
ホワイトニングメニュー
・オフィスホワイトニング 30,000円~
院内で行うホワイトニングです高濃度の医療機関のみが扱うことのできる
ホワイトニングジェルを塗布しLED光を当てて歯を白くします
1度の効果が高く、当日にその場で白さを感じることができます
施術は通常3回行います
処置時間は1時間程度で、個人差はありますが1~2トーンほど明るくなります
ワンクール3回のホワイトニングで、白さは半年ほど持続します
・ホームホワイトニング 15,000円(専用シリンジ4本付き)
歯科医院で作った専用のマウスピースを使用し薬剤を使って自宅で行う方法です
効果が出るまでには少し期間(ホームホワイトニングのみの場合約2週間)がかかりますがオフィスホワイトニングよりも白さが持続します(シリンジ1本で約2回分です)
・デュアルホワイトニング 35,000円(シリンジは別途購入)
上記のオフィスホワイトニングとホームホワイトニングの両方を並行して行う方法です
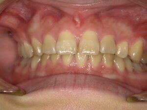
当院の症例 25歳 女性 <デュアルホワイトニング>

術前

術後(3回のオフィスホワイトニング後にホームホワイトニング約1週間)
当院の症例 30歳 女性 <オフィスホワイトニング>

術前

2回ホワイトニングジェル塗布後

術後 3回ホワイトニングジェル塗布後
当院の症例 17歳 女性 オフィスホワイトニング

術前

1回ホワイトニングジェル塗布後

術後 3回のホワイトニングジェル塗布
・ウオーキングブリーチ 1本3000円~
外傷や大きな虫歯などによって神経が無くなった歯(失活歯)が変色した場合に行う方法です
歯の中へ直接ホワイトニング材を入れて歯の内側から白くします
歯の状態にもよりますが通常1~3回でかなり白くなります
適さない症例もありますのでまずはスタッフにお気軽にお問い合わせください
・プロフィージェット (パウダー料金1000円)
着色が多く付着している場合に着色を除去するパウダーを使用してクリーニングする方法です。
頑固な茶渋、タバコのヤニなどの着色を重炭酸ナトリウムの微粒子の粉末を
プロフィージェットという機械で歯面に吹き付けて落とします。
ご相談のみでも結構です
お問い合わせお待ちしております





