セラミック・審美治療について
むし歯治療の後には
セラミックを用いた
セラミック・審美治療がおすすめ
セラミック素材を使用して、詰め物・被せ物を作製する治療をご存知でしょうか?セラミック素材は白い陶材のため、天然歯に近い質感を出すことができます。また、変色しにくく、表面がツルツルしていて細菌がつきにくいメリットもあります。機能面にも見た目にもこだわりたいかたに推奨していますので、気になるかたはお気軽にご相談ください。


こんな場合はご相談ください
- 詰め物・被せ物が破損した
- むし歯治療で歯を削った
- 銀歯が目立つ
- 見た目にもこだわりたい
- 詰め物・被せ物が変色した
- 長く使用したい
- 二次むし歯を防ぎたい
- 金属アレルギー持ちである
金属に頼らない歯科治療
銀歯などの金属素材の使用には
メリット・デメリットがあります
歯を削ったあとに銀歯で補う方法は、保険診療の範囲で対応できるため、費用面の負担を抑えやすい治療法です。一方で、長い年月の使用により歯との間にすき間が生じ、そこからむし歯が再発する可能性があります。また、口を開けた際に金属が見えることを気にされるかたもいらっしゃいます。こうした背景から、近年では金属を使用しない治療方法を選択されるケースも増えています。
当院のセラミック・審美治療
各種先端機器を活用した
精度の高い治療
当院では、3D口腔内スキャナーとセレックシステムを導入しています。セレックシステムとは、口腔内スキャナーで詰め物や被せ物部分の設計図を作成し、自動でブロックを削り出し、詰め物や被せ物を作製する設備です。これにより、通常は歯科技工所へ依頼して作製する必要があった、詰め物や被せ物も院内で作製できるため、治療から装着までの期間を大幅に短縮できます。
治療後のトラブルにも
安心の保証制度あり
セラミック・審美治療後のトラブルがご不安なかたに向けて、当院では保証制度(院内規定あり)を設定しています。治療後2年以内に生じたトラブル(外れた、破損した、違和感があるなど)に対して、当院でしっかりとフォローいたします。治療後も定期的にメンテナンスを受けられていることが条件となりますので、ご注意ください。
詰め物・被せ物の種類
e-max
ニケイ酸リチウムガラスセラミックを主成分としており、普通のセラミック素材よりも強度が強い特徴を持ちます。本来の天然歯と同等、もしくは天然歯以上にきれいな色調を再現できるため、審美性と耐久性を兼ね備えている素材です。
ジルコニア
セラミック素材の一種であり、人工ダイヤモンドとも呼ばれています。セラミック素材の中でも比較的丈夫な素材で、色も白く美しく加工することが出来ます。強度が必要な奥歯にも使用可能であり、透明感のある美しい歯を再現することができます。
オールセラミック
セラミック素材のみで作られた詰め物・被せ物は、オールセラミックと言います。セラミック素材は高い強度と耐久性を持っており、見た目も天然歯に近い質感に仕上げることができます。長期的に使用しても、変色も生じにくい特徴もあります。
ゴールド
当院では、詰め物・被せ物を作製する際にゴールドを使用する選択肢もあります。ゴールドは歯との適合性が高いため、二次むし歯になりにくいメリットがあります。また、耐久性が高く生体親和性にも優れているため、長く使用することに向いている素材と言えます。
ダイレクトボンディングについて
すきっ歯や欠けた歯の改善には
ダイレクトボンディングが
おすすめです
口周りの審美治療では歯科用のプラスチックを歯に盛り付ける治療方法もあり、ダイレクトボンディングと呼ばれます。歯の変色や欠けた部分の修復などで用いられており、歯にかかる負担が少ないメリットがあります。金属不使用のため、金属アレルギーをお持ちのかたも安心して治療を受けていただけます。
治療の流れ
1 カウンセリング
患者さんのご希望をお聞きしたうえでどのような治療内容になるか、保険診療となるのか、患者さんが納得して治療を受けていただけるようにご説明いたします。
2 歯牙の形成・仮歯作製
セラミックを被せるため土台を作ります。神経の処置が必要なむし歯の場合は、神経の治療から行い、神経の治療の終了後に土台を立てます。セラミックが入るまでの間は、仮歯で過ごしていただきます。
3 セラミックの作製
精密な型を取り、周囲の歯の色や形に合わせてセラミックを作製していきます。
4 装着
最後に補綴物を装着します。噛み合わせなどを確認しながら細かな調整を行い、歯科用セメントで接着します。歯と補綴物を適切に装着することで、すき間が生じにくくなり、細菌の侵入リスクを抑えることにつながります。
5 メンテナンス
むし歯や歯周病を防ぐため定期的(3ヵ月毎)にクリーニングなどのメンテナンスをおすすめします。汚れが付着したまま放置すると、歯ぐきが腫れるなどトラブルの原因となってしまいます。セラミックに合わせたクリーニングを行います。
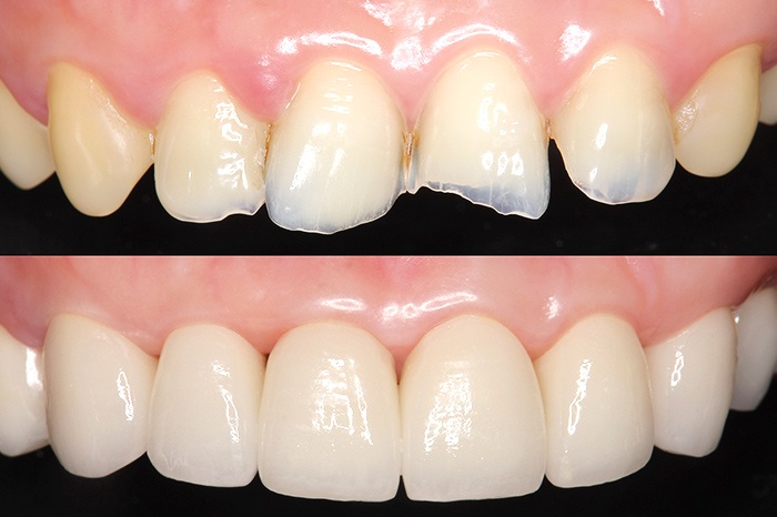
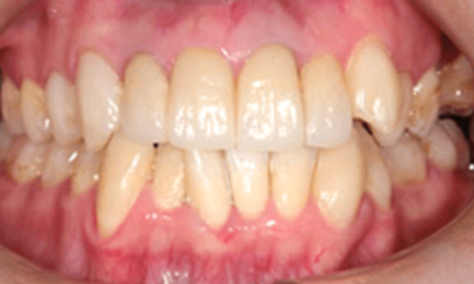
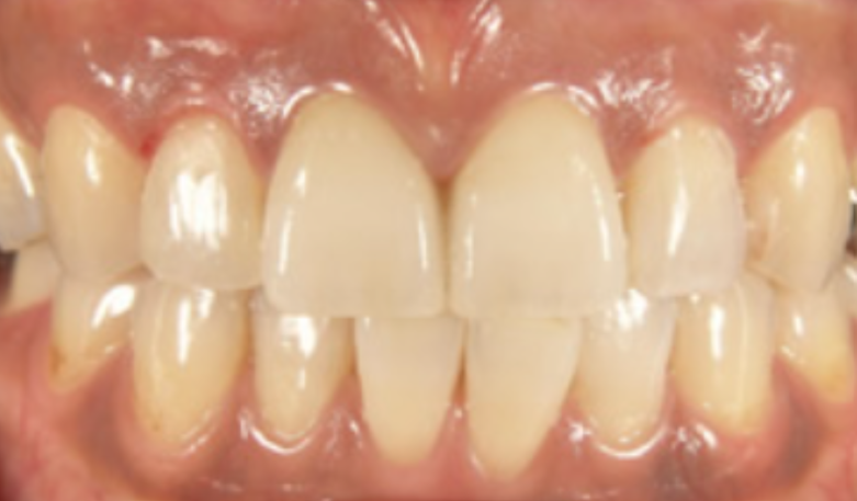
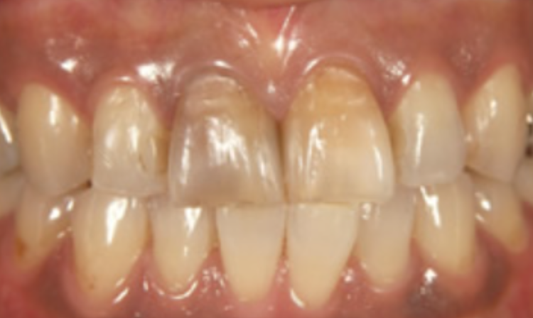
症例
費用
料金表
審美補綴
| フルジルコニアクラウン | 91,300円 |
|---|---|
| e-maxクラウン | 91,300円 |
| フルジルコニアインレー | 52,800円 |
| e-maxインレー | 46,200円 |
※表示金額は全て税込みです。
お支払方法
当院では、下記のお支払方法が可能です。

- 現金
- 現金でのお支払い

- クレジットカード
- ※自由診療のみ
VISA/JCB/
Mastercard/など

- デンタルローン
- 低金利分割払いでの
お支払い
医療費控除について
1年間(1月1日~12月31日)に10万円以上の医療費を支払った場合は、医療費控除によって一定の金額の所得控除を受けることができます。ご自身の支払いに限らず、生計を共にするご家族が支払った医療費も対象となります。詳しくは国税庁のホームページをご覧ください。
注意点・リスク・副作用
・歯の形や噛み合わせを元通りにする治療ではありません。
・新しい噛み合わせに慣れるまでに時間がかかることがあります。
・補綴材料によってはアレルギーが出ることがあります。
・強い衝撃がかかると割れる可能性があります。




