入れ歯について
フィットする入れ歯をお求めのかたは
ぜひ一度当院までご相談ください
入れ歯をつけて生活をしているかたに話しを聞くと、「すぐに外れる」「話しにくい」などの不満を抱えていることがとても多いです。当院では患者さんの要望やご希望の予算などをしっかりとヒアリングし、一人ひとりに適した入れ歯をご提供いたします。現在ご使用中の入れ歯が合わない、違和感があるかたなど、お気軽に当院までご相談ください。


こんな場合はご相談ください
- 入れ歯が合わない
- 見た目が気になる
- 装着時に痛みがある
- しっかり噛めたい
- 違和感がある
- 食事を楽しみたい
- 入れ歯が破損してしまった
- 入れ歯を調整したい
当院の入れ歯
綿密な検査や各種設備を活用して
精度の高い入れ歯をご提供
せっかく入れ歯を作製しても、患者さんの口腔内に合ったものでなければ意味がありません。装着時の違和感や痛み、噛みにくさなどのトラブルが生じてしまいます。当院では患者さん一人ひとりにフィットする入れ歯を作るため、各種精密検査を実施してしっかりデータを取り、精度の高い入れ歯を作製いたします。入れ歯が合わずお悩みのかたは、お気軽にお問い合わせください。
テレスコープシステムを導入
一人ひとりに適した
精密部分入れ歯を作製
一般的な部分入れ歯は、見た目や固定力などのデメリットが特徴としてあげられます。これらの問題点をクリアすべく、当院では精密部分入れ歯(テレスコープシステム)を導入しています。コーヌステレスコープ、リーゲルテレスコープ、レジリエンツテレスコープの3種類に対応しており、歯の数や神経の有無で使い分け、患者さんの状態に合わせてご提案いたします。
入れ歯の種類

レジン床義歯
歯ぐきと触れる部分がプラスチック(レジン)でできた、保険診療の範囲で作製可能な入れ歯です。調整が容易で準備しやすい入れ歯であり、経済的な負担も少ないです。ただし、床部分が厚く設計されるため、装着時の違和感が出やすく、飲み物の温度を感じにくいデメリットもあります。

金属床義歯
床部分がコバルトクロムやチタンなどの金属でできた入れ歯であり、自由診療での作製となります。金属の強度を活かして床部分が薄く設計できるため装着感が少なく、温度も感じやすいメリットがあります。ただし金属を使用しているため、金属アレルギーがあるかたは使用を推奨していません。

ノンクラスプデンチャー
留め具(クラスプ)がない部分入れ歯をノンクラスプデンチャーと言います。一般的な部分入れ歯は金属製の留め具で歯に固定するため歯がダメージを受けやすく、見た目の目立ちやすさが気になるかたもいらっしゃいます。ノンクラスプデンチャーは、これらの問題点を改善できる部分入れ歯となります。

マグネットデンチャー
歯に磁石を埋め込んで土台として、磁石付きの入れ歯を磁力で固定する方法をマグネットデンチャーと言います。強い磁力で固定されるためしっかりと食べ物を噛める点は長所であり、ご自身での取り外しも可能なため管理がしやすい入れ歯です。

インプラントオーバーデンチャー
顎骨にインプラント体(人工歯根)を埋め込み、インプラント体を土台として入れ歯を固定する方法です。片顎につき2~6本のインプラント体で済むため、全てをインプラント体で行うインプラント治療よりも経済的な負担が少ないです。安定感も高くしっかりと噛めるため、快適に食事ができます。
多くの歯を失った場合に
入れ歯作製の流れ
1 口腔内診査・診療
まずは患者さんの口腔内の状態を確認いたします。歯科医師によるヒアリングなども合わせて行います。
2 印象採得・型取り
口腔内のデータを取得するため、印象材を使用して型取りをします。入れ歯作製の計画を立てるために重要な情報となります。
3 咬合採得・噛み合わせの位置の記録
入れ歯で快適な食事ができるよう、咬合採得や噛み合わせの位置の記録をします。入れ歯装着時の顎の負担を抑えるためにも、念入りに評価いたします。
4 試適
仮作製した入れ歯を装着いただき、感覚や噛み合わせなど試します。問題点などあれば都度調整して、患者さんにフィットする形状に近づけていきます。
5 完成・装着
完成した入れ歯をお渡しして、入れ歯作製は完了です。完成後も定期的にご来院いただき、入れ歯のメンテナンスを行うことで長く使用することができます。
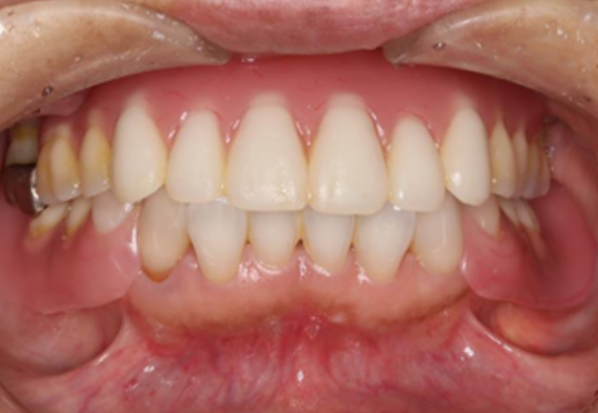
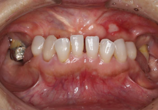
症例
費用
料金表
| 金属床義歯 | コバルトクロム:250,000円~400,000円 チタン:400,000円~700,000円 |
|---|---|
| ノンクラスプデンチャー | 片側:100,000円~200,000円 両側:200,000円~350,000円 |
| マグネットデンチャー | マグネット1装置:50,000円~100,000円 義歯:300,000円~600,000円 |
| インプラントオーバーデンチャー | 2本:1,200,000円~18,000,000円 4本以上:1,800,000円~3,000,000円 |
| オールオン4 | 片側:2,500,000円~4,000,000円 |
| オールオン6 | 片側:3,500,000円~5,000,000円 |
※表示金額は全て税込みです。
お支払方法
当院では、下記のお支払方法が可能です。

- 現金
- 現金でのお支払い

- クレジットカード
- ※自由診療のみ
VISA/JCB/
Mastercard/など

- デンタルローン
- 低金利分割払いでの
お支払い
医療費控除について
1年間(1月1日~12月31日)に10万円以上の医療費を支払った場合は、医療費控除によって一定の金額の所得控除を受けることができます。ご自身の支払いに限らず、生計を共にするご家族が支払った医療費も対象となります。詳しくは国税庁のホームページをご覧ください。
注意点・リスク・副作用
・加齢によるお口の中の変化により、定期的に入れ歯の調整が必要になる場合があります。
・強い力をかけると割れる(欠ける)可能性があります。
・土台となるご自身の歯に負担がかかる場合があります。
・耐久性がやや劣るため数年後に再作製が必要になる場合があります。
・金属の種類によってはアレルギーが出る可能性があります。
・入れ歯の種類などにより、土台となるご自身の歯を削る場合があります。
・治療時に出血を伴う可能性があります。
・入れ歯装着時に違和感が出る場合があります。
・顎の骨が痩せると入れ歯が合わなくなり、調整(修理)が必要になる場合があります。




