こんにちは
!
星の森ファミリー歯科・歯科衛生士の松島です![]()
北風も日毎に冷たさを増し、1年で最も忙しい季節となりましたね。
皆様いかがお過ごしでしょうか
?



さて今日は当院で取り組んでいる予防矯正についてお話させていただきます。
”矯正”ではなく”予防矯正”という言葉はあまりお聞き馴染みがないかもしれませんね。
予防矯正とは文字どおり、歯並びの乱れを予防することです。
歯並びの悪さは遺伝なので仕方がないと思う方もいらっしゃるかもしれません。
実際に遺伝性の歯列不正もあります![]()
しかし歯並びが乱れる原因は
姿勢や呼吸、口元の悪い癖など後天的なものがほとんどです![]()

そこで当院では、その悪い癖を治して正しいかみ合わせや並びを自分で獲得し、
後戻りをしないようにすることを目的とする予防矯正を行っています![]()
永久歯が全て生え揃った後に矯正をおこなって歯並びをきれいにしても
悪い癖を残したままでは元の状態に戻ってしまうことがあります![]()
そこでその原因となるくせや習慣を成長期のうちに取り除き
口元はもとより、正しい体の使い方や姿勢を身に付けてあごの発育を促します!
このとき無理に歯を動かすようなことをせず
お子さんの本来あるべき状態の歯並びに成長するお手伝いをします![]()

予防矯正は次のように行います
➀お子さんの姿勢や癖を取り除くためのトレーニングをします。
癖や呼吸の状態、姿勢などが複雑に影響し合って歯並びや顎の骨の発育へ影響します
ひとりひとりに合わせたメニューを組み、
呼吸や体幹、お口周りの簡単なトレーニングをご用意します![]()
全て数分で終わるようなものですのでおうちで毎日少しずつ練習してください。
②毎日夜寝る時と昼間1時間、マウスピースをつけます。
③お子さんの状態に合わせて
上あごを広げる装置やかみ合わせを上げて口腔内を広くする装置を使用し
お口の機能を高めるようにうながします![]()
当院の患者様の症例をご紹介します
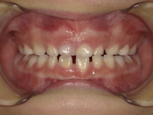
6歳9ヶ月 女の子

下の大人の歯が子供の歯の内側から生えてきたこと
ガミースマイル(笑った時に歯ぐきがみえる)を主訴に来院されました。
彼女のガミースマイルの原因として
噛む力が強すぎること、口呼吸があり、
舌が本来あるべき場所よりも下にあるため
上あごが前方でなく下向きに成長してしまい、下あごの成長を
しにくくしています![]()
マウスピースを使用しながら呼吸トレーニングなどを始めました![]()
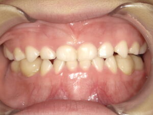
4ヶ月後

顎の位置が変わり、かみ合わせも良くなってきました
下顎の成長も見られます![]()
まだ舌のくせがあるのでトレーニングを継続しています。
上あごが大きくなってきたので上の歯が生え変わり始めています。
6歳8ヶ月 男の子

かみ合わせが反対になっています。
かみ合わせが深く、このままでは上あごの成長を邪魔してしまいます![]()
7ヶ月後

かみ合わせを上げた後に
反対のかみ合わせ用のマウスピースを使用しながら
呼吸と体幹トレーニングを始めました。
呼吸を整えてからお口のトレーニングを開始します。
6歳7ヶ月 女の子

前歯が交叉してしまってかみ合わせの中心がずれています。
10ヶ月後

かみ合わせを上げてマウスピースを使用しています。
中心も揃いとても綺麗な歯列になっています。
交叉した原因として姿勢の傾きがあったため
体幹トレーニングから始め、歯並びを乱さないように
舌のトレーニングをしっかり行っています![]()
![]()
予防矯正は5歳ころから行っていただけます。
「まだ生え変わりも始まっていないのに?」
と思われるかもしれませんが
あごの成長を期待できる時期にはタイムリミットがあります。
早めにご相談頂くことで
現在のお子様の状況から未来を予測し
原因を見つけ、簡単なアドバイスだけで
予防矯正すら必要なくなるかもしれません。
予防矯正は歯並びだけに働きかけるのではなく
姿勢をよくしたり正しい呼吸をおぼえ、
落ち着きを身につけます。
適切な力で噛めることで虫歯予防や将来の歯の健康を保ち
心身ともに健全な成長をもたらしてくれます![]()
最後にとっておきの症例です(*予防矯正はしていません)
10歳4ヶ月 女の子 マウスピースのみ使用


同じ患者様です
来院時10歳を過ぎており、永久歯に生え変わりが進んでいました![]()
歯並びがガタガタしていることを本人が気になると
お母様と来院されました。
年齢的になかなか厳しい症例でしたが本人の強い希望もあり
マウスピースを使用開始しました。
どうしてもだめなら矯正治療も覚悟して…
しかしながら数ヶ月でここまで綺麗になりました![]()
マウスピースは必ず毎日時間があれば使用していたということです![]()
![]()
時々こんな癖は気をつけてねなどとお話しましたが
まさに本人の努力の賜物ですね。
彼女にはいつも
「これは自分で手に入れた歯並びだよ」
とお話させていただいています![]()
写真を見ていただくとよくわかると思いますが
歯並びが綺麗になり、初めて来院した頃よりも
歯や歯ぐきが綺麗になっているのがわかります![]()
こうやって手にいれた綺麗で力強い歯並びを
一生大切にしてくれることと思います。
口は命の入口であり、心の出口です。
小さな頃から自分のお口に関心を持ち
大切にしていくことは
幸せな人生に不可欠なことだと思いませんか?
そのお手伝いが少しでもできたらと
日々精一杯診療にあたっています。
気になることがありましたら
お気軽にスタッフまでお尋ねください![]()
![]()
予防矯正について詳しくはこちら←
*当院のインスタグラムのアカウント
*当院の公式LINE
歯に関するお困りごとは、あま市の星の森グループにお任せください。
星の森ファミリー歯科では
患者様をお待たせしないよう、ご予約制とさせて頂いております。
当日のご予約が埋まってしまっている場合でも、
随時急患様はお受けしておりますので、ご来院の前に一度お電話ください。
又、ホームページからWEBでの予約も24時間受け付けております。
是非、ご利用ください
TEL*052-443-4650
フリーダイヤル*0120-824-182
